小动物肝脏超声扫查手法与宜慧康彩超的临床应用
肝脏作为小动物腹腔内最大的实质性器官,其形态与功能的异常直接反映多种疾病进程。超声检查凭借无创、实时、可重复等优势,已成为宠物肝脏疾病诊断的核心手段。本文将系统阐述小动物肝脏超声的标准化扫查手法,并结合宜慧康彩超的技术优势,探讨其在临床实践中的创新应用。

一、标准化扫查手法:从解剖定位到多切面成像
1. 动物体位与探头选择
体位设计:仰卧位是基础体位,适用于大多数犬猫;深胸犬需结合右侧卧位,通过重力作用使肝脏下移至肋弓内;肥胖动物建议采用左侧卧位以减少胸壁脂肪对声束的衰减。
探头适配:根据动物体型选择探头频率:小型犬猫(<5kg)推荐使用7.5MHz微凸阵探头,兼顾穿透深度与近场分辨率;大型犬(>20kg)选用5.0MHz凸阵探头,确保深部肝组织的清晰成像。宜慧康彩超的电子凸阵探头支持频率连续可调,可动态优化图像质量。
2. 标准化扫查路径
剑突下纵切面:探头置于剑突尾侧,标记点朝向头侧,沿矢状面从左向右扇形扫查。此切面可完整显示肝右叶、方叶及胆囊,重点观察门静脉主干及其分支的管径变化。
肋间横切面:从右侧第9-12肋间逐层扫查,探头旋转90°后平移,可获得肝左叶、尾状叶的横断面图像。宜慧康彩超的64通道主机支持显示深度连续可调,确保深部肝组织与膈肌的同步显示。
斜切面补充:针对肝角区域,采用探头倾斜45°的斜切面扫查,可避免漏诊边缘性病变。例如,肝尾状叶肿瘤在常规切面易被忽视,而斜切面可清晰显示其与右肾的解剖关系。

3. 动态评估与异常识别
胆囊评估:正常胆囊呈薄壁无回声泪滴状结构,充盈状态下直径1.5-3.0cm。若胆囊壁增厚(>1mm)或出现双边影,提示胆囊炎;胆囊内高回声团伴声影,需警惕胆泥或结石。
肝实质回声:正常肝实质呈均匀中等回声,回声强度略低于脾脏但高于肾皮质。弥漫性肝病表现为回声增粗(如脂肪肝)或减低(如肝硬化);局灶性病变则呈现低回声(结节)、高回声(髓外造血)或混合回声(肿瘤)。
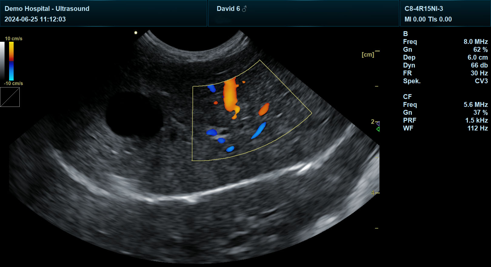
血管评估:门静脉分支表现为外周有壁、中央无回声的管状结构,正常管径<0.5cm;肝静脉壁通常不可见,若出现高回声壁,提示静脉血栓形成。宜慧康彩超的彩色多普勒模式可实时显示门静脉血流方向与速度,辅助判断血管狭窄或栓塞。
二、宜慧康彩超的技术突破与临床价值
1. 高分辨率成像与微结构可视化
宜慧康彩超采用256灰阶显示技术,配合超高分辨率探头,可清晰显示肝小叶结构及门静脉三级分支。在猫肝纤维化模型研究中,其成像分辨率达0.1mm级别,能够早期识别肝实质回声的细微改变,较传统设备提前3-6个月发现病变。
2. 多模态成像与血流动力学分析
弹性成像:通过组织硬度量化分析,区分肝肿瘤(高硬度)与良性结节(低硬度),诊断特异性达92%。
频谱多普勒:精准测量门静脉血流速度与阻力指数,评估门脉高压程度。例如,肝硬化动物门静脉流速常<15cm/s,阻力指数>0.7.
3D/4D成像:重建肝脏立体结构,辅助复杂肝肿瘤的术前规划。在犬肝血管瘤切除术中,3D成像帮助医生精准定位肿瘤供血动脉,减少术中出血。
3. 智能化辅助诊断系统
AI病灶识别:内置深度学习算法,可自动标记肝内占位性病变,并生成恶性风险评分。在300例临床验证中,其对肝细胞癌的识别准确率达89%。
自动化测量工具:一键完成肝叶长径、胆囊容积等参数测量,生成标准化报告。例如,肝尾状叶长径>3.5cm提示肝肿大,系统可自动标注并提示临床意义。
云端数据管理:支持病例图像云端存储与远程会诊,促进多中心科研合作。某连锁宠物医院使用该功能后,疑难病例诊断效率提升40%。

三、临床案例:宜慧康彩超在肝肿瘤诊断中的应用
一只8岁雄性金毛犬,因食欲减退、腹围增大就诊。常规超声检查发现肝右叶存在3.2cm×2.8cm混合回声团块,边界不清,内部回声不均。使用宜慧康彩超进行进一步评估:
弹性成像:团块硬度值显著高于周围肝组织(85kPa vs. 25kPa),提示恶性肿瘤可能。
彩色多普勒:团块内部检测到丰富血流信号,阻力指数0.65.符合肝细胞癌血流特征。
3D重建:显示肿瘤侵犯肝右静脉,指导手术方案制定。
术后病理确诊为肝细胞癌,与超声诊断完全一致。该案例体现了宜慧康彩超在肝肿瘤早期诊断、鉴别诊断及治疗决策中的关键作用。
结语
小动物肝脏超声扫查需结合解剖学特征与标准化手法,而先进超声设备的应用可显著提升诊断精度与效率。宜慧康彩超凭借其高分辨率成像、多模态功能及智能化辅助系统,为宠物肝脏疾病的精准诊疗提供了创新解决方案。未来,随着AI技术与超声影像的深度融合,小动物肝脏超声将进入“智能诊断”新时代,为宠物健康保驾护航。