动物彩色多普勒超声诊断系统 YHK-DY30 技术参数

一、设备名称:动物彩色多普勒超声诊断系统
二、设备型号:YHK-DY30
三、设备用途说明
主要用于犬、猫、小鼠、大鼠等动物的腹部、心脏、小器官、血管的超声扫查与评估。
四、主机物理参数
4.1 主机尺寸:376mm*335.3mm*51.5mm
4.2 主机重量:8KG
4.3 显示:液晶显示屏(双屏)
4.4 电源:交流(AC)220V±22V 50Hz±1Hz
4.5 输入功率:100VA
4.6 扩充接口:● 充电接口、● 720P HDMI、● 视频输出;● USB 接口
2 个;● RJ-45/DICOM 接口;● 支持喷墨、激光、视频打印机
4.7 储存温度:环境温度范围为-5℃至+40℃
4.8 湿度范围:相对湿度小于 80%
4.9 适应条件:防水、防尘,防水防尘级别 IP54、防摔
五、主机技术参数
5.1 显示模式:
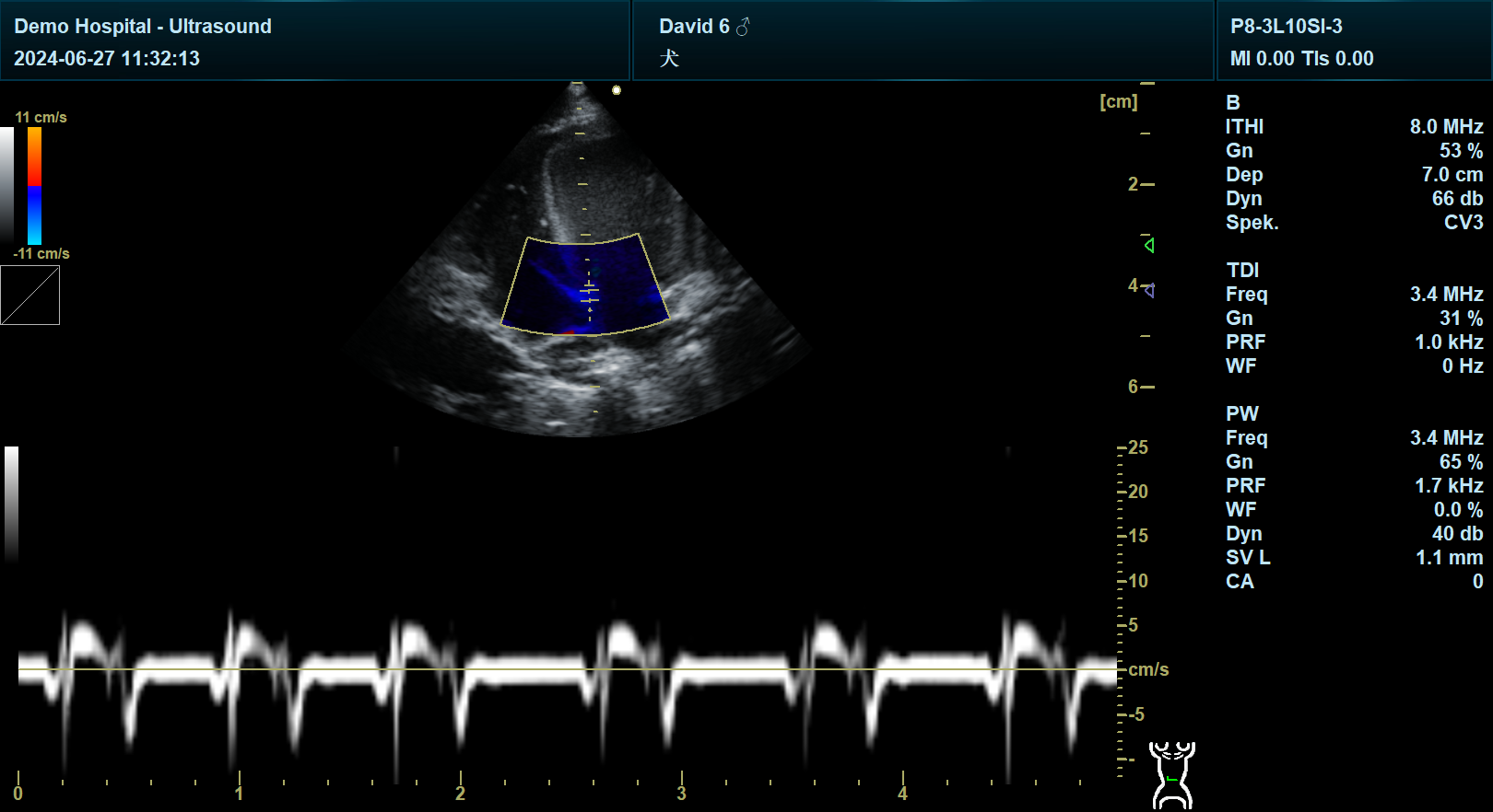
● 黑白图像:B、2B、4B、B|M、B|D、PW、M、B 模式局部放大
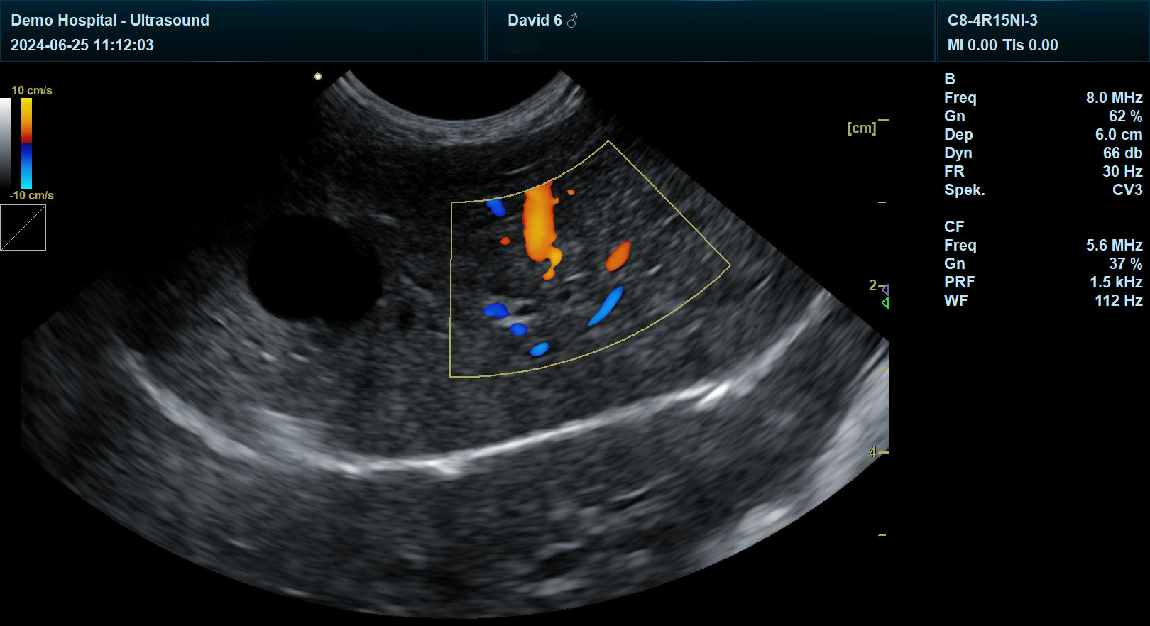
● 图像:频谱:B/D、B/C/D、CW CFM:B|C|D、PW、CFM、PDI、DPDI、CW
● 彩色血流图像调节参数:多普勒频率、取样框位置和大小、基线、彩色增益、偏转角度、壁滤波、累积次数等5.3 显示深度
●连续可调
5.4 主机通道数:
● 64 通道,Windows10 系统
5.5 扫描方式:
● 电子线阵、电子凸阵、电子相控阵
5.6 扫描类型:
● 正常、复合扩展等
5.7 聚焦
● 电子聚焦+声透镜聚焦
● 发射具有单焦点、双焦点、三焦点和四焦点工作方式
● 接收连续动态聚焦
5.8 灰阶
● 256 灰阶
5.9 B 模式
●频率、增益、能量、动态范围、焦点间隔、焦点数目、斑点减少、图像增强、帧平均、抑制、视野、扫描类型、线密度、角度、组织特异性成像、复合帧、上下翻转、镜像、旋转、全屏、伽马、色板、彩色图、负片、亮度、对比度
5.10 M 模式
●频率、能量、增益、动态范围、视野、抑制、扫描速度、右/下、伽马、色板、彩色图、负片、亮度、对比度
●解剖 M5.11 CF 模式
●频率、增益、能量、包大小、 PRF、壁滤波、空间滤波、彩色平均、基线、偏转角、BC同宽、高 PRF、线密度、方差、彩色翻转、彩色阈值、透明度、彩色优先、色板
5.12 PW 模式
● 频率、增益、能量、动态范围、扫描速度、自动描迹、音量、PRF、偏转角、壁滤波、SV 长度、基线、两同步/三同步、快速角度矫正、角度矫正、右/下、高 PRF、彩色图、负片、平均频谱、翻转
5.13 PDI 模式
● 频率、增益、能量、包大小、 PRF、动态范围、BC 同宽、壁滤波、空间滤波、彩色平均、偏转角、高 PRF、线密度、方差、彩色阈值、透明度、彩色优先、色板
5.14 CW 模式
●频率、增益、能量、动态范围、自动描迹、音量、PRF、扫描速度、基线、壁滤波、快速角度矫正、角度矫正、右/下、彩色图、负片、平均频谱、翻转
5.15 可选配探头:
● 7.5MHZ 线阵探头
● 8.0MHZ 微凸探头
● 6.0 MHZ 心脏探头
● 8.0MHZ 心脏探头
5.15 基本测量计算功能
●B 模式基本测量:距离、周长和面积(椭圆法、轨迹法)、狭窄、比率、体积、角度、直方图、断面图、IMT
●M 模式基本测量:组织深度、时间间隔、速度、狭窄、比率、距离、心率
● D 模式基本测量:直径、PS/ED、心率、速度、PG、时间间隔、血流量5.16 腹部测量计算功能
● 可以测量肝脏、胆囊、胰腺、脾脏、消化道、膀胱、左肾、右肾等科目
5.17 产科测量计算功能
● 提供多种计算孕周的产科数据库版本
● 可以根据实际情况,测量孕囊、头直径、头臀径、体直径计算得到孕周、预产期等结果
● 产科报告
5.18 生殖系统测量计算功能
● 子宫、左卵巢、右卵巢、左卵泡、右卵泡等测量计算
5.19 心脏测量计算功能
● 心脏测量软件包——提供心率、速度、左右心室、主动脉、二尖瓣、左右心房以及相关血管等分析测量方法
● 心脏计算软件包——可根据测量得到的数据进行相关计算,从而得到心脏数据的计算结果
5.20 泌尿系统测量计算功能
● 左肾、右肾、膀胱、前列腺、睾丸等测量计算
5.21 血管测量计算功能
● 可针对不同血管进行对应的测量计算
5.22 频谱自动测量计算功能
● 频谱模式下可进行频谱自动描迹,并自动计算得到相关数据
5.23 存储功能
● 探头参数存储、图像存储、电影回放存储、测量结果存储、报告存储5.24 电影回放功能
5.25 界面语言
●多达包括中英文在内的十种语言可选